Restore your smile with specialist led implant care
Whether you’re missing a tooth, struggling with discomfort, or want a long-lasting alternative to dentures, we’re here to help. Our specialist-led implant treatments restore function, confidence and natural aesthetics — designed to last.
Book a free consultation
The team at Siha Dental was amazing! My dental visit was smooth, quick, and painless. The dentist was professional and kind. The office is clean and modern. I felt comfortable and well-cared for. Highly recommend!
IS this treatment right for you?
Replacing missing or damaged teeth is a big decision — and it’s important to feel supported and confident in your care. At Siha Dental, your treatment is led by our Specialist Prosthodontist, Dr. Salman Pirmohamed, whose expertise focuses specifically on rebuilding and restoring smiles. Whether you need to replace one tooth, several teeth, or a full set, he designs treatment plans that are precise, personal and tailored to your comfort.
You may be a suitable candidate for dental implants if you:
Have one or more missing or failing teeth
Want a secure, fixed alternative to removable dentures
Prefer a result that looks natural and feels like your own teeth
Have healthy gums and sufficient bone support (or are open to grafting if needed)
If implants aren’t the best solution for you, we’ll guide you through alternatives such as bridges or advanced dentures — always with honesty, clarity and no pressure.

How your implant journey works



Benefit

What does this mean for you?
Why choose Dental implants?

How do dental implants work?
A dental implant resembles a small titanium screw that is securely fused into the exact position of your missing tooth, acting as a ‘root’ for holding a false tooth or crown in place.
Once fitted, the implant offers long-term support for your new replacement tooth, or multiple teeth. It will be colour and shade-matched to blend seamlessly with your natural teeth.
How the process works





Here is exactly what to expect in your journey
.png)

.png)

.png)

.png)
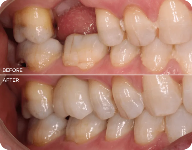
Smile rehabilitation results

.png)
DENTAL IMPLANT PAYMENT PLANS
Single implant
All-on-4 one arch
All-on-4 full mouth
Comprehensive implant assessment package - £539
Embark on your treatment journey with confidence. Our implant planning package brings together all the essential assessments and 3D high resolution digital impressions and scans needed to create a treatment plan that is accurate, predictable and tailored to you — led by our specialist prosthodontist.
Everything included in the package:
- Specialist assessment
- Oral Examination
- iTero 3D Digital Scan

Dental implants frequently asked questions
A specialist prosthodontist, such as Siha Dental’s Salman Pirmohamed, is a dentist who focuses on replacing missing teeth and restoring your smile. They have advanced training in fixing issues like a single lost tooth, several missing teeth, or even complete tooth loss. While many general dentists can help with some of these problems, prosthodontists are specially trained to provide the best care for these types of dental needs.
Dental implant treatment is performed under local anaesthetic by our skilled and gentle dentist, ensuring a pain-free experience. While you may experience some soreness for a few days afterward, this can be easily managed with a soft diet and over-the-counter pain relievers.
With proper care and maintenance, your dental implants can last a lifetime. We ensure our patients understand how to care for their implants, promoting their long-term health and stability. This can be easily achieved through a good home care routine and regular dental check-ups and hygiene appointments. We're here to support you every step of the way.
We understand that dental visits can be anxiety-inducing for some patients, and we prioritise your comfort and wellbeing. Our team takes the time to explain each step of the process, allowing you to ask questions and feel more at ease. Our gentle approach and supportive environment aim to make your experience as comfortable as possible.
Yes, we understand that dental implant treatment can involve a significant cost. That's why we offer competitive financing plans to help make your dental care more flexible and affordable. This allows you to spread the cost of your treatment and receive the care you need without added financial stress.
.png)
.png)
.png)
.png)
